胸腔摆位的基本原则:
- 评价心脏——首选右侧位和背腹位
- 呼吸困难——禁用腹背位
- 曝光时机——最大吸气末
1.胸腔侧位投照
投照要点:
- 投照范围:肩前——第1腰椎
- 投照中心:肩胛骨后缘1-2指处
- 厚度测量位置:第13肋骨处
摆位基本要求:
- 胸骨位于投照范围内
- 前肢不能遮挡胸廓前部
- 胸廓不能发生扭转
摆位操作要点:
- 左(右)侧卧保定
- 前肢伸展前拉
- 后肢后拉
- 头颈自然伸展
- 避免扭转
胸部投照-侧位投照摆位示意图 |
资源描述:动物侧卧,将前肢前拉、后肢后拉,头颈自然伸展,垫高胸骨,防止胸部旋转。投照范围从肩前到第一腰椎,投照中心在第4~5肋间隙(肩胛骨后缘1~2指处),胸廓厚度以第13肋骨处为准。
|
犬胸腔侧位片示例 |
资源描述:投照范围从肩前到第一腰椎,投照中心在第4~5肋间隙(肩胛骨后缘1~2指处)。
|
2.胸腔正位投照(腹背位)
投照要点:
- 投照范围:肩前到第1腰椎
- 投照中心:肩胛骨后缘
- 厚度测量位置:第13肋骨处
摆位操作要点:
- 仰卧保定
- 前肢伸展前拉
- 肘头外展
- 后肢自然摆放
胸部腹背位投照摆位示意图 |
资源描述:动物仰卧,将前肢前拉、肘头外展,后肢自然摆放,脊柱拉直,胸椎与胸骨上下在同一垂直平面。投照范围从肩前到第一腰椎,投照中心在第5~6肋间隙(肩胛骨后缘),胸廓厚度以第13肋骨处的厚度为准。
|
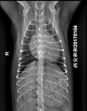
犬胸腔腹背位片示例 |
资源描述:动物仰卧,将前肢前拉、肘头外展,后肢自然摆放,脊柱拉直,胸椎与胸骨上下在同一垂直平面。投照范围从肩前到第一腰椎,投照中心在第5~6肋间隙(肩胛骨后缘)。
文件来源:西安京和动物医院有限公司
|
3.胸腔正位投照(背腹位)
投照要点:
- 投照范围:肩前到第1腰椎
- 投照中心:肩胛骨后缘
- 厚度测量位置:第13肋骨处
摆位操作要点(俯卧保定,其他与腹背位相同):
- 动物俯卧
- 前肢前拉,肘头外展
- 后肢自然摆放
- 脊柱拉直,胸椎与胸骨上下在同一垂直平面
胸部背腹位投照摆位 |
资源描述:动物俯卧,将前肢前拉、肘头外展,后肢自然摆放,脊柱拉直,胸椎与胸骨上下在同一垂直平面。投照范围从肩前到第一腰椎,投照中心在第5~6肋间隙(肩胛骨后缘),胸廓厚度以第13肋骨处的厚度为准。
|


